close Đăng nhập

Ngã đập đầu xuống đất, cụ bà vỡ mạch máu não, liệt nửa người

VietTimes – Không may bị ngã đập đầu xuống đất, cụ bà 84 tuổi vào viện trong tình trạng liệt nửa người.
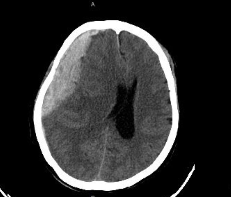
Khối máu tụ lớn trong não của cụ N. (Ảnh - BVCC)
Khối máu tụ lớn trong não của cụ N. (Ảnh - BVCC)

Các bác sĩ ở Bệnh viện Đa khoa Đức Giang vừa cứu sống một cụ bà 84 tuổi bị tụ máu não sau khi ngã đập đầu xuống đất.

Bà N.T.N., 84 tuổi, sống ở xã Phú Thị, huyện Gia Lâm, TP. Hà Nội, vào viện cấp cứu trong trạng thái liệt nửa người bên trái do ngã đập đầu xuống đất. Gia đình cụ N. cho biết: Sau khi bị ngã, cụ không được tỉnh táo nên người nhà đã lập tức đưa vào viện.

Ngay sau khi bệnh nhân nhập viện, các bác sĩ đã thăm khám và chỉ định chụp cắt lớp vi tính sọ não, đồng thời, làm các xét nghiệm cần thiết. Kết quả chụp cắt lớp vi tính cho thấy, cụ bà có khối máu tụ rất lớn ở nửa đầu bên phải đè đẩy tổ chức não. Các bác sĩ chẩn đoán cụ bà bị máu tụ dưới màng cứng cấp tính bán cầu bên phải.

Sau đó, Bệnh viện đã hội chẩn liên khoa các bác sĩ ở khối ngoại, Khoa Gây mê hồi sức và lãnh đạo Bệnh viện và thống nhất chỉ định mổ cấp cứu lấy máu tụ dưới màng não càng nhanh càng tốt cho bệnh nhân. Sau đó, bệnh nhân được vừa làm xét nghiệm vừa được chuyển đến phòng mổ.

Trong quá trình phẫu thuật, BS. Trần Minh Tân – Khoa Cấp cứu, Bệnh viện Đa khoa Đức Giang cùng các bác sĩ ở Khoa Gây mê đã tiến hành mở hộp sọ lấy máu tụ cho bệnh nhân. Lúc mở hộp sọ, các bác sĩ phát hiện màng cứng căng tím, đập yếu và một khối máu rất lớn ở bán cầu bên phải. Sau khi lấy bỏ khối máu tụ, 1 mạch máu não bị đứt vẫn đang phun máu. Nếu không phẫu thuật kịp thời thì khả năng người bệnh hôn mê sâu và tử vong rất cao. Do đó, sau khi lấy hết máu tụ và đốt cầm máu mạch máu đã vỡ bằng dao điện lưỡng cực, mảnh xương sọ của người bệnh được gửi nuôi ngoài cơ thể chờ ghép lại thì 2.

Nhờ được phẫu thuật kịp thời cùng sự chăm sóc hậu phẫu tận tình của các bác sĩ, 3 ngày sau mổ, bệnh nhân đã bỏ được ống thở hỗ trợ. 2 tuần sau, bệnh nhân đã tỉnh táo, không yếu liệt và được xuất viện.

Từ trường hợp của cụ N., BS. Tân khuyến cáo: “Đối với những người cao tuổi cần hết sức cẩn trọng trong sinh hoạt cá nhân hàng ngày, tránh những chỗ trơn trượt nguy hiểm. Khi bệnh nhân có ngã dù là ngã nhẹ cũng cần được đưa tới bệnh viện để được bác sĩ thăm khám kịp thời, tránh bỏ sót chảy máu não có thể gây ảnh hưởng tới tính mạng người bệnh hoặc để lại di chứng nặng nề nếu điều trị muộn.”

Sức khỏe 24h