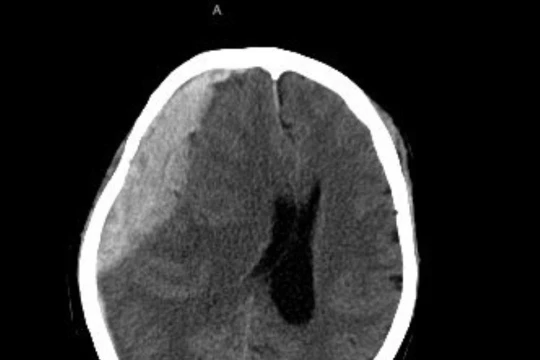
Ngã đập đầu xuống đất, cụ bà vỡ mạch máu não, liệt nửa người VietTimes – Không may bị ngã đập đầu xuống đất, cụ bà 84 tuổi vào viện trong tình trạng liệt nửa người.