close Đăng nhập

Tiên lượng chỉ sống được vài tháng vì ung thư gan, bệnh nhân sống khỏe 4 năm nhờ điều trị đa mô thức

Bệnh nhân 64 tuổi mắc ung thư biểu mô tế bào gan giai đoạn muộn kèm huyết khối tĩnh mạch cửa, từng được tiên lượng chỉ sống được vài tháng, nhưng đã sống khỏe mạnh sau 4 năm nhờ chiến lược điều trị đa mô thức.

00:00
0:00
00:00
Tốc độ phát 1x

Tóm tắt bài viết

/
Bệnh nhân N.T.Đ, 64 tuổi, ung thư biểu mô tế bào gan giai đoạn muộn kèm huyết khối tĩnh mạch cửa, đã sống khỏe mạnh sau 4 năm nhờ điều trị đa mô thức tại BV Việt Đức.
TS.BS Cao Mạnh Thấu cho biết bệnh nhân N.T.Đ được chẩn đoán ung thư biểu mô tế bào gan lớn gan phải, có huyết khối tĩnh mạch cửa lan vào thân chung và sang tĩnh mạch cửa trái trên nền viêm gan B mạn tính, xơ gan.
Các bác sĩ BV Việt Đức đã cắt gan phải, cắt một phần hạ phân thùy 1, cắt túi mật, nạo vét hạch cuống gan, đồng thời lấy huyết khối tĩnh mạch cửa thân chung và tĩnh mạch cửa trái, kết hợp tạo hình lại tĩnh mạch cửa.
Sau phẫu thuật, bệnh nhân N.T.Đ tiếp tục được điều trị đa mô thức gồm truyền hóa chất động mạch gan kết hợp điều trị toàn thân, nhằm kiểm soát các tế bào ung thư vi thể còn sót lại.
Kết quả theo dõi sau 4 năm cho thấy bệnh nhân không tái phát tại gan và không có di căn xa, cho thấy điều trị đa mô thức kết hợp phẫu thuật có thể mở ra cơ hội sống cho bệnh nhân ung thư gan.
1.png
TS.BS Cao Mạnh Thấu (phải) trao đổi với bệnh nhân

Bốn năm sau ca phẫu thuật được đánh giá là “đi trên lằn ranh sinh tử”, bệnh nhân N.T.Đ, 64 tuổi, vừa trở lại Bệnh viện Hữu nghị Việt Đức (BV Việt Đức) tái khám trong tình trạng ổn định.

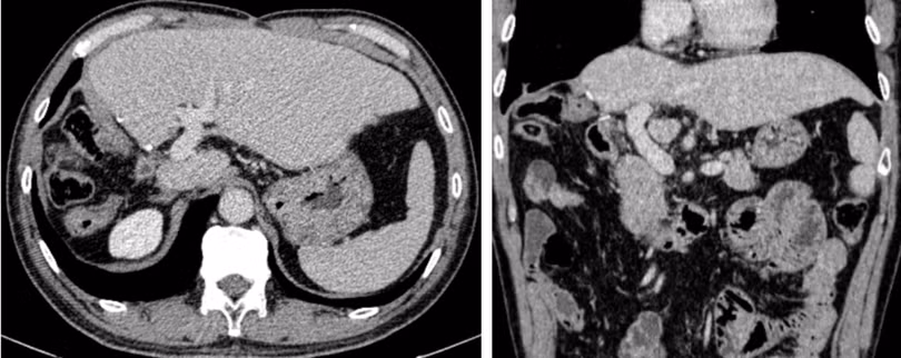
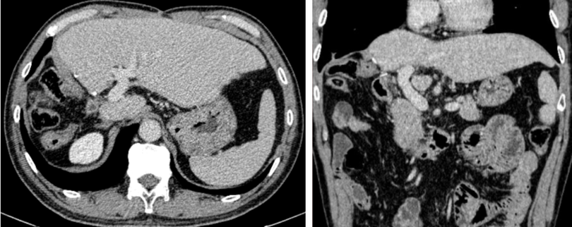
Kết quả chụp cắt lớp vi tính cho thấy gan trái còn lại chức năng tốt, tĩnh mạch cửa thông thoáng, không ghi nhận tái phát tại gan cũng như di căn xa.

Trao đổi với VietTimes hôm nay, 3/1, TS.BS Cao Mạnh Thấu, Phó Trưởng khoa Ung bướu và Xạ trị (BV Việt Đức) cho biết với ung thư biểu mô tế bào gan giai đoạn muộn kèm huyết khối tĩnh mạch cửa, đây là kết quả hiếm gặp, vượt xa mọi tiên lượng ban đầu.

Trước đó, khi được đưa đến BV Việt Đức, bệnh nhân được chẩn đoán ung thư biểu mô tế bào gan lớn gan phải, có huyết khối tĩnh mạch cửa lan vào thân chung và sang tĩnh mạch cửa trái trên nền viêm gan B mạn tính, xơ gan.

Theo TS.BS Thấu, đây là nhóm bệnh có tiên lượng đặc biệt xấu, đa số chỉ được chỉ định điều trị giảm nhẹ do nguy cơ suy gan và biến chứng cao. Dù đã thăm khám tại nhiều cơ sở y tế lớn, thời gian sống của bệnh nhân khi ấy cũng chỉ được tính bằng tháng.

Hội chẩn đa chuyên khoa cho một quyết định táo bạo

Tại BV Việt Đức, bệnh nhân được tiếp cận theo hướng chủ động, dựa trên đánh giá toàn diện và hội chẩn đa chuyên khoa. TS.BS Cao Mạnh Thấu cho biết với ung thư gan giai đoạn muộn kèm huyết khối tĩnh mạch cửa, việc đánh giá toàn trạng và chức năng gan là yếu tố then chốt. Cần xác định chính xác mức độ lan của huyết khối, tình trạng di căn xa, đo đạc tỉ mỉ thể tích gan còn lại sau mổ, đồng thời khảo sát kỹ các bất thường giải phẫu.

Ca bệnh được các bác sĩ các chuyên khoa ung bướu và xạ trị, chẩn đoán hình ảnh, gây mê hồi sức, ngoại khoa, dinh dưỡng và dược lâm sàng, hội chẩn kỹ càng và thống nhất lựa chọn phẫu thuật như một mắt xích quan trọng trong chiến lược điều trị đa mô thức.

“Quyết định này được đưa ra trên cơ sở cân nhắc kỹ lưỡng nguy cơ và lợi ích, cùng với sự đồng thuận cao của bệnh nhân và gia đình”- BS Thấu chia sẻ.

1767430802217.png
Hình ảnh chụp cắt lớp vi tính sau phẫu thuật 4 năm: Gan trái bệnh nhân tốt, tĩnh mạch cửa thông thoáng, không có tái phát tại gan và di căn xa.

Phẫu thuật phức tạp và điều trị đa mô thức quyết định sống còn

Các bác sĩ đã tiến hành ca mổ cắt gan phải, cắt một phần hạ phân thùy 1, cắt túi mật, nạo vét hạch cuống gan, đồng thời lấy huyết khối tĩnh mạch cửa thân chung và tĩnh mạch cửa trái, kết hợp tạo hình lại tĩnh mạch cửa.

Theo TS.BS Cao Mạnh Thấu, đây là kỹ thuật đặc biệt phức tạp, đòi hỏi phẫu thuật viên có kinh nghiệm sâu trong ngoại khoa gan - mật. Trong mổ, việc hạn chế tối đa thao tác trực tiếp vào khối u nhằm tránh huyết khối lan sang gan lành là nguyên tắc bắt buộc. Kiểm soát chặt chẽ động mạch gan và tĩnh mạch cửa giữ vai trò quyết định.

Kỹ thuật cắt gan tiếp cận đường trước kết hợp sử dụng bóng Fogarty để lấy toàn bộ huyết khối và tạo hình lại tĩnh mạch cửa đã được thực hiện thành công. Sau mổ, bệnh nhân hồi phục thuận lợi, chức năng gan trái được bảo tồn, lưu lượng tuần hoàn tĩnh mạch cửa trở về bình thường.

“Tuy nhiên, phẫu thuật chỉ là một phần trong chiến lược điều trị ung thư gan giai đoạn muộn. Nếu không phối hợp các phương pháp phù hợp khác, hiệu quả lâu dài sẽ khó đạt tối ưu”, BS Thấu cho hay. Vì vậy, bệnh nhân tiếp tục được điều trị đa mô thức sau mổ, gồm truyền hóa chất động mạch gan kết hợp điều trị toàn thân, nhằm kiểm soát các tế bào ung thư vi thể còn sót lại, giảm nguy cơ tái phát và kéo dài thời gian sống.

Kết quả theo dõi sau 4 năm cho thấy chiến lược này đã phát huy hiệu quả rõ rệt, khi bệnh nhân không tái phát tại gan và không có di căn xa. Trong bối cảnh phần lớn bệnh nhân ung thư gan kèm huyết khối tĩnh mạch cửa trên thế giới vẫn chủ yếu được điều trị giảm nhẹ, thì thành công tại BV Việt Đức cho thấy điều trị đa mô thức kết hợp phẫu thuật có thể mở ra cơ hội sống thực sự cho những ca bệnh từng bị coi là vô vọng.

BS Thấu cũng khuyến cáo người mắc viêm gan B mạn tính khi phát hiện tổn thương tại gan cần được theo dõi và đánh giá kỹ lưỡng tại các cơ sở chuyên khoa sâu về gan mật. Đặc biệt, không nên chủ quan với chẩn đoán u lành tính ban đầu, bởi nguy cơ ác tính luôn tiềm ẩn và có thể cướp đi cơ hội điều trị nếu phát hiện muộn.

Y tế

10 sự kiện nổi bật của y tế Việt Nam năm 2025

10 sự kiện nổi bật của y tế Việt Nam năm 2025

Năm 2025 chứng kiến những bước tiến chưa từng có: từ ghép tim – phổi đồng thời, ghép 2 phổi trong 1 ngày, đến vận chuyển y tế bằng UAV và chiến lược chuyển đổi số, mở ra kỷ nguyên mới cho y tế Việt Nam.

Thành lập Trường Đại học Tâm Anh chuẩn quốc tế

Thành lập Trường Đại học Tâm Anh chuẩn quốc tế

Với mô hình đào tạo gắn chặt giữa giảng dạy - thực hành - nghiên cứu và hợp tác quốc tế tầm cao, Trường Đại học Tâm Anh được kỳ vọng sẽ nhanh chóng tạo ra đội ngũ nhân lực toàn diện, chuyên sâu, có khả năng thích ứng với môi trường làm việc chuyên nghiệp, hiện đại.

Não mô cầu tấn công trở lại

Não mô cầu tấn công trở lại

Bệnh viện Đa khoa tỉnh Thanh Hóa vừa ghi nhận một ca tử vong do não mô cầu. Trong khi đó, cả nước đã có 95 ca mắc từ đầu năm, tăng gấp nhiều lần so với cùng kỳ, khiến cơ quan y tế cảnh báo nguy cơ lây lan trong mùa đông - xuân.