Bệnh viện Hữu nghị Việt Đức cho biết: Bệnh nhân N.T.H., nữ, 54 tuổi, sống ở Kim Bôi, Hòa Bình nhập viện vì có dị vật mắc kẹt ở tim.
Bà H. bị ung thư vú từ năm 2015, đã phẫu thuật và đặt buồng truyền hóa chất để điều trị bổ trợ. Sau khi kết thúc liệu trình điều trị, do e ngại việc phải phẫu thuật can thiệp nhiều lần nên bà đã không lấy buồng truyền ra.
Đến tháng 11/2021, sau 6 năm, dây nối của buồng truyền bị đứt, trôi theo mạch máu và bị kẹt lại trong tim của bà H. Tại Bệnh viện Hữu nghị Việt Đức, các bác sĩ đã can thiệp lấy dị vật cho bệnh nhân.
ThS.BS. Thân Văn Sỹ - Khoa Chẩn đoán Hình ảnh, Bệnh viện Hữu nghị Việt Đức - cho biết: Các bác sĩ đã sử dụng dụng cụ can thiệp đưa vào buồng tim và lấy dị vật ra ngoài cho bệnh nhân chỉ trong vài phút. Quá trình can thiệp nhanh chóng và nhẹ nhàng đến nỗi người bệnh phải thốt lên trong ngỡ ngàng, khi ôm nỗi sợ phẫu thuật suốt 6 năm, không dám vào viện để lấy buồng truyền ra cho tới khi xảy ra biến chứng nguy hiểm. Sau can thiệp, bệnh nhân ổn định, dự kiến sẽ được xuất viện trong 1-2 ngày.
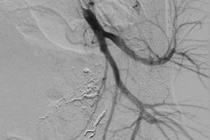
![]() |
| Hình ảnh dị vật kẹt trong tim bệnh nhân (Ảnh - BVCC) |
Theo TS.BS. Lê Thanh Dũng - Trưởng Khoa Chẩn đoán hình ảnh, Bệnh viện Hữu nghị Việt Đức - dị vật trong tim và mạch máu rất hiếm gặp. Tuy nhiên gần đây tình trạng này ngày càng phổ biến do việc sử dụng nhiều dụng cụ, thiết bị trong chẩn đoán và điều trị các bệnh lý khác nhau. Những dị vật này có thể to, nhỏ, hoặc có độ cứng, sắc cạnh khác nhau. Vì vậy, chúng có thể không gây ra triệu chứng gì, hoặc có thể gây ra huyết khối, tắc mạch, đâm thủng thành mạch, tổn thương tim, van tim, thậm chí dẫn đến rối loạn nhịp tim... May mắn thay, ngày nay với các dụng cụ hiện đại, hầu hết các dị vật trong tim và mạch máu đều có thể lấy ra khỏi cơ thể chỉ qua một vết chọc rất nhỏ trên da.
Tuy nhiên, TS.BS. Lê Thanh Dũng cũng nhấn mạnh: Việc lấy bỏ dị vật trong lòng tim, mạch máu phải được thực hiện bởi những người có kinh nghiệm để tránh gây ra những tổn thương thêm cho tim và mạch máu. Vì vậy nếu gặp phải một trong những trường hợp trên, người bệnh cần được chuyển tới cơ sở y tế có chuyên môn sâu để được điều trị kịp thời.
