Các bác sĩ của Bệnh viện (BV) Tai Mũi Họng TP.HCM đã ứng dụng phẫu thuật nội soi mũi xoang, cùng với hệ thống định vị các cấu trúc cũng như khối u trong hốc mũi chính xác để phẫu thuật thành công khối u hốc mũi cho bé trai 15 tháng tuổi vào ngày 24/10.
Sau gần một tuần được phẫu thuật, vết mổ đã ổn định và bệnh nhi hết lồi mắt, trở lại sinh hoạt bình thường.
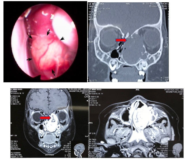
Trước đó, mẹ bé cho biết bé bị nghẹt mũi khoảng 4 tháng, mặc dù uống thuốc điều trị nhưng tình trạng bệnh không thuyên giảm. Sau đó, mắt trái của bé bị lồi, mỗi ngày một nặng hơn. Phụ huynh đưa con đến khám tại BV Nhi Đồng và BV mắt TP.HCM và các bác sĩ đã phát hiện có khối u ở hốc mũi bên trái. Vì thế, bệnh nhi đã được chuyển qua BV Tai Mũi Họng TP.HCM để được điều trị.
![]() |
| Hình ảnh nội soi và CT scan khối u lớn vùng hốc mũi trái. Ảnh: BVCC |
Tại BV Tai Mũi Họng TP.HCM, bác sĩ tiến hành các xét nghiệm và đã chẩn đoán vùng hốc mũi trái của bé có khối u kích thước khoảng 35mm. Khối u này gây biến dạng, hủy xương sàng, xương thành trong hốc mắt và một phần mềm sọ, đồng thời, khối u đè ép các cấu trúc hốc mũi, chèn ép đỉnh hốc mắt và hậu nhãn bên trái.
Đây là trường hợp khó do khối u nằm ở sát nền sọ nên nguy cơ chảy dịch não tủy trong lúc phẫu thuật là rất cao.
PGS.TS.BS Trần Phan Chung Thủy – Giám Đốc BV Tai Mũi Họng TP.HCM chia sẻ: "Khối u vùng hốc mũi ở trẻ em thường gặp trong những khối u vùng đầu cổ ở trẻ em. Tuy nhiên, các triệu chứng xuất hiện âm thầm nên rất khó phát hiện cho đến khi khối u đã lớn và chèn ép những cấu trúc xung quanh.
Khi bị khối u vùng hốc mũi, bé có thể bị nghẹt mũi, chảy máu mũi, chảy mũi. Nếu không phát hiện kịp thời, khối u sẽ phát triển chèn ép hốc mắt gây lồi mắt, thậm chí bị mù vĩnh viễn. Nguy hiểm hơn, khối u này chèn ép vào sọ não, có thể gây tử vong".





