TS.BS. Lê Hồng Nhân - Phó Giám đốc Trung tâm Phẫu thuật Thần kinh, Trưởng khoa Phẫu thuật Thần kinh II, Bệnh viện Hữu nghị Việt Đức – cho biết: Chị T.T.H., 40 tuổi, dân tộc Sán Chí, sống ở Bắc Kạn vào viện trong tình trạng tỉnh, không liệt, không sốt, mắt bên phải sưng nề bầm tím, phòi kẹt tổ chức nội nhãn, nhãn cầu xẹp nghi ngờ nhãn cầu đã vỡ do cành cây xuyên qua hốc mắt vào sọ não.
Trước đó, khi chị H. đi lên rừng chặt vầu cùng mấy chị em thì gặp tai nạn bất ngờ bị cành cây rơi trúng đầu. Sau tai nạn, chị H. bất tỉnh tại chỗ, người nhà quá bối rối không biết xử trí nên vội vã cõng chị H. xuống núi và nhanh chóng đưa đến bệnh viện huyện. Tại bệnh viện, các bác sĩ đã sơ cứu cho chị nhưng không đủ thiết bị nên chưa thể xác định có dị vật trong đầu bệnh nhân hay không. Cùng ngày, bệnh nhân được chuyển đến Bệnh viện Hữu nghị Việt Đức để cấp cứu.
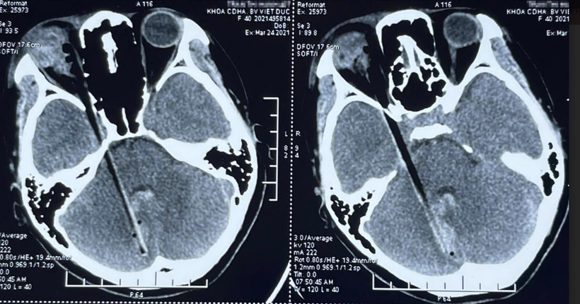
![]() |
Hình ảnh dị vật đâm xuyên qua hốc mắt, vào sọ não của bệnh nhân (Ảnh - BVCC) |
Tại Bệnh viện Hữu nghị Việt Đức, các bác sĩ đã khám và chụp chiếu phát hiện hốc mắt của chị H. có dị vật là một mảnh gỗ dài, cắm vào thành trong hốc mắt. Mảnh gỗ này đã đi qua sát vùng xoang hang đến tận hố sọ sau rồi cắm vào tiểu não phải, sát thân não khiến bệnh nhân bị tổn thương, chảy máu.
Dưới sự chỉ đạo của GS.TS. Trần Bình Giang - Giám đốc Bệnh viện Hữu nghị Việt Đức- các chuyên gia hàng đầu của bệnh viện về phẫu thuật thần kinh, chẩn đoán hình ảnh, hồi sức đã tiến hành hội chẩn, quyết định lấy bỏ nhãn cầu và lấy bỏ dị vật trong hố mắt và trong sọ cho bệnh nhân.
Sau nhiều giờ căng thẳng, TS. Lê Hồng Nhân cùng nhóm phẫu thuật viên thần kinh đã lấy được mảnh gỗ dài thuôn nhọn ở đầu dài gần 12cm, dày 0,5cm cắm thành vào thành xương sọ của bệnh nhân.
Hiện, sức khoẻ của bệnh nhân đã ổn định, tiếp tục được điều trị và theo dõi tổn thương nhiễm trùng và chảy máu sau mổ tại bệnh viện.
Bị cây gỗ đâm xuyên mặt vì say rượu đi xe máy
Ăn thịt nướng, bé trai 6 tuổi bị xiên tre dài 20cm đâm xuyên cẳng tay phải
