Bệnh nhi là bé Ng.B.T (sinh cuối tháng 1/2020) bị viêm phổi kéo dài, được bác sĩ BV Sản Nhi tỉnh Nghệ An phát hiện mắc bệnh thông liên thất rất lớn phần cơ sát mỏm, không có khả năng điều trị bằng các phẫu thuật hay can thiệp thông thường.
Tháng 7/2020, gia đình đưa bé đến Trung tâm Tim mạch và Lồng ngực (BV Hữu Nghị Việt Đức) để điều trị. Sau khi thực hiện các thăm dò chuyên sâu, các bác sĩ BV Hữu Nghị Việt Đức chẩn đoán bé bị mắc bệnh thông liên thất lớn vùng cơ, tăng áp lực động mạch phổi rất nặng, thân và 2 nhánh động mạch phổi giãn lớn, suy dinh dưỡng và chậm lớn (bé chỉ 4kg).
Nếu không can thiệp kịp thời, bệnh sẽ nhanh chóng tiến triển đến giai đoạn cuối. Đáng nói, vị trí lỗ thông ở khu vực khó tiếp cận, bác sĩ không thể thực hiện các giải pháp phẫu thuật tim hở thông thường, can thiệp bít lỗ thông qua da vì có nguy cơ gây sang chấn nặng các mạch máu.
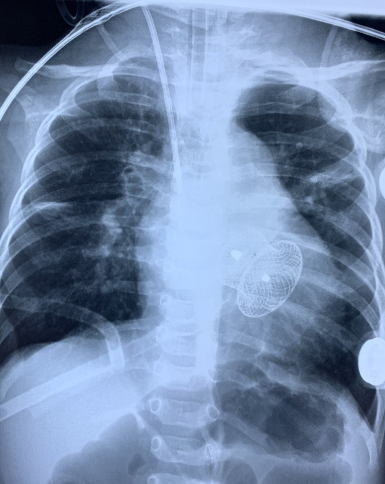
![]() |
| Phim chụp ngực bệnh nhi sau can thiệp (có hình dụng cụ ở giữa tim). Ảnh: BVCC |
Sau khi hội chẩn, Trung tâm Tim mạch và Lồng ngực quyết định dùng kỹ thuật Hybrid để điều trị cho bệnh nhi, mặc dù rất khó khăn nhưng là giải pháp trọn vẹn nhất. Kỹ thuật Hybrid trong tim mạch là sự kết hợp cùng lúc 2 kỹ thuật cao là “phẫu thuật tim mạch” và “can thiệp tim mạch” để điều trị các bệnh phức tạp mà 1 trong 2 kỹ thuật cao này không thể giải quyết tốt được.
Do bé bị tăng áp lực động mạch phổi nặng và suy dinh dưỡng nên giai đoạn hậu phẫu khá vất vả. Bệnh nhi được rút máy thở sau mổ 7 ngày và xuất viện sau đó 2 tuần (6/8). Kết quả tái khám sau 10 ngày ghi nhận tốt.
BV Hữu Nghị Việt Đức là cơ sở y tế có đơn vị điều trị Hybrid đầu tiên của Việt Nam về bệnh tim mạch từ năm 2012. Tuy nhiên, với các ca bệnh tim bẩm sinh, chỉ định dùng kỹ thuật Hybrid lại rất ít, cả nước chỉ có vài BV thực hiện được, nhưng cũng rất hạn chế, chủ yếu đối với trẻ tương đối lớn.
Theo PGS.TS. Nguyễn Hữu Ước - Giám đốc Trung tâm Tim mạch và Lồng ngực (BV Hữu Nghị Việt Đức), đây là ca thực hiện kỹ thuật Hybrid cho bệnh tim bẩm sinh thứ 2 tại BV Hữu Nghị Việt Đức. Đây cũng là ca bệnh nhỏ tuổi nhất ở Việt Nam – cháu bé mới 5 tháng tuổi - được chữa bệnh bằng kỹ thuật đặc biệt này.
Gia đình bệnh nhi có hoàn cảnh khó khăn nên được Chương trình Trái tim cho em hỗ trợ kinh phí. Khi con khỏi bệnh, gia đình rất vui mừng, cảm ơn chân thành các thầy thuốc BV Hữu Nghị Việt Đức và nhà tài trợ đã nỗ lực cứu sống, mang lại cuộc sống tốt hơn cho cháu bé.





