close Đăng nhập

Ứng dụng AI trong dự đoán ung thư vú đạt bước tiến mới

VietTimes – Những thuật toán AI đã chứng minh sự vượt trội so với các mô hình chẩn đoán lâm sàng truyền thống, cho thấy khả năng dự đoán rủi ro ung thư vú trong vòng 5 năm với độ chính xác cao.

Các mô hình AI xác định rủi ro ung thư vú hiệu quả hơn mô hình lâm sàng tiêu chuẩn. Ảnh SciTech Daily
Các mô hình AI xác định rủi ro ung thư vú hiệu quả hơn mô hình lâm sàng tiêu chuẩn. Ảnh SciTech Daily

Trong một nghiên cứu quy mô lớn, sử dụng hàng nghìn bức ảnh chụp quang tuyến vú, các nhà khoa học của tập đoàn chăm sóc sức khỏe Kaiser Permanente tại Bắc California đã chứng minh rằng, những thuật toán trí tuệ nhân tạo (AI) có khả năng vượt trội so với Mô hình rủi ro lâm sàng tiêu chuẩn dự đoán nguy cơ ung thư vú trong khoảng thời gian 5 năm. Kết quả công trình nghiên cứu được công bố trên Radiology, một tạp chí của Hiệp hội X quang Bắc Mỹ (RSNA).

Nguy cơ ung thư vú của một phụ nữ trẻ thường được tính toán bằng phương pháp sử dụng các mô hình lâm sàng như Mô hình rủi ro của Hiệp hội giám sát ung thư vú (BCSC), sử dụng thông tin tự thông báo và những thông tin khác về bệnh nhân, bao gồm độ tuổi, tiền sử bệnh của gia đình và người thân, người phụ nữ trẻ đã sinh con hay chưa và có bộ ngực săn chắc hay không để tính toán khả năng mắc bệnh ung thư vú.

Trưởng nhóm nghiên cứu, TS, Bác sĩ Vignesh A. Arasu , nhà nghiên cứu khoa học và chuyên gia X quang thực hành tại tập đoàn chăm sóc sức khỏe Kaiser Permanente tại Bắc California cho biết: “Những Mô hình rủi ro lâm sàng phụ thuộc vào quy trình thu thập thông tin từ nhiều nguồn khác nhau, không phải lúc nào cũng có sẵn hoặc dễ dàng thu thập. Những tiến bộ gần đây trong AI học sâu cung cấp cho chúng ta khả năng phát hiện các dấu hiệu ung thư từ hàng trăm đến hàng nghìn bức ảnh chụp quang tuyến vú tăng cường”.

Sự vượt trội của mô hình AI

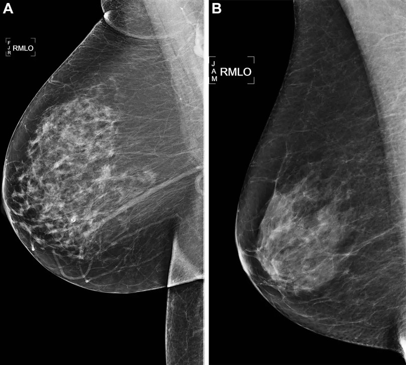
Anhchupquangtuyen.jpg
A. Ảnh quang tuyến vú sàng lọc xiên bên phải (RMLO) cho thấy kết quả âm tính từ năm 2016 ở một phụ nữ 73 tuổi có điểm rủi ro, mô hình AI Mirai xác định nguy cơ hơn 90%. Mắc ung thư vú phải năm 2021 sau 5 năm theo dõi. B. Ảnh quang tuyến vú sàng lọc xiên bên phải một phụ nữ 73 tuổi kết quả âm tính, mô hình AI Mirai xác định rủi ro thấp hơn 10%, không phát triển ung thư sau 5 năm theo dõi. Ảnh: Hiệp hội X quang Bắc Mỹ.

Trong nghiên cứu hồi cứu (bộ dữ liệu những bức ảnh quang tuyến vú chụp trước đó 5 năm), TS Arasu đã sử dụng bộ dữ liệu kết quả chụp quang tuyến vú 2D, đã sàng lọc âm tính (không có bằng chứng rõ ràng về ung thư) được thực hiện tại Kaiser Permanente ở Bắc California vào năm 2016.

Trong số 324.009 phụ nữ được sàng lọc bằng ảnh quang tuyến vú năm 2016, đáp ứng đầy đủ những tiêu chí nghiên cứu, các nhà khoa học lựa chọn dữ liệu của một nhóm phụ nữ ngẫu nhiên, 13.628 người để đào tạo AI và phân tích.

Nhóm nghiên cứu cũng sử dụng dữ liệu của 4.584 bệnh nhân từ nhóm phụ nữ đã chọn cho nghiên cứu này. Nhóm bệnh nhân này đã được bác sĩ chẩn đoán mắc bệnh ung thư trong vòng 5 năm kể từ lần chụp quang tuyến vú đầu tiên năm 2016. Tất cả những phụ nữ này đều được theo dõi cho đến năm 2021.

TS Arasu cho biết: “Chúng tôi đã chọn tất cả những bức ảnh chụp quang tuyến vú sàng lọc, thực hiện vào năm 2016 của những người được chuẩn đoán âm tính, nhóm phụ nữ trong nghiên cứu của chúng tôi là đại diện cho tất cả cộng đồng dân cư ở Bắc California".

Các nhà nghiên cứu đã chia bộ dữ liệu khoảng thời gian 5 năm thành 3 giai đoạn dự đoán rủi ro: nguy cơ phát triển ung thư hoặc sự xuất hiện của ung thư, được chẩn đoán trong khoảng từ 0 đến 1 năm; nguy cơ ung thư trong tương lai hoặc khả năng xuất hiện ung thư, được chẩn đoán trong khoảng từ 1 đến 5 năm; tất cả nguy cơ ung thư, hoặc ung thư ngẫu nhiên được chẩn đoán trong khoảng thời gian từ 0 đến 5 năm.

Nhóm nhà khoa học đào tạo các mô hình AI xác định rủi ro bằng 5 thuật toán trong đó 2 thuật toán hàn lâm do các nhà khoa học phát triển và sử dụng, 3 thuật toán có sẵn trên thị trường. Sau đó, sử dụng những bức ảnh chụp quang tuyến vú sàng lọc năm 2016, bằng các mô hình AI, nhóm nhà khoa học ước tính rủi ro ung thư vú trong khoảng thời gian 5 năm. Điểm rủi ro sau đó được so sánh giữa các thuật toán AI và với điểm rủi ro lâm sàng BCSC.

TS Arasu cho biết: “Tất cả 5 thuật toán AI đều hoạt động tốt hơn Mô hình rủi ro BCSC trong dự đoán nguy cơ ung thư vú từ 0 đến 5 năm. Hiệu suất dự đoán cao trong khoảng thời gian 5 năm cho thấy, AI xác định được cả dấu vết ung thư bị bỏ sót và những đặc điểm mô vú, cho phép dự đoán nguy cơ phát triển ung thư trong tương lai”.

Một số thuật toán AI rất xuất sắc trong khả năng dự đoán những bệnh nhân có nguy cơ cao mắc bệnh ung thư cách quãng (xuất hiện ung thư vú sau khoảng thời gian 3 năm xét nghiệm âm tính), thường rất nguy hiểm và đòi hỏi phải xem xét lại ảnh chụp quang tuyến vú, chụp ảnh sàng lọc bổ sung trong giai đoạn này hoặc chụp ảnh theo dõi theo từng giai đoạn cho các bệnh nhân. Một ví dụ điển hình về khả năng mắc bệnh ung thư cách quãng, khi đánh giá những phụ nữ có nguy cơ cao nhất là 10%, AI dự đoán được tới 28% trường hợp ung thư so với 21% do BCSC dự đoán.

Ngay cả những thuật toán AI, được đào tạo trong khoảng thời gian ngắn nhất (khoảng 3 tháng) cũng có thể dự đoán hiệu quả nguy cơ ung thư trong tương lai lên đến 5 năm, khi dấu hiệu ung thư vú không được phát hiện trong lâm sàng thông qua ảnh chụp quang tuyến vú. Khi được sử dụng phối hợp cùng nhau, mô hình AI và BCSC xác định rủi ro cho hiệu quả cao hơn trong khả năng dự đoán ung thư.

TS Arasu cho biết: “Chúng tôi đang tìm kiếm một phương tiện chính xác, hiệu quả và có thể mở rộng trên quy mô cộng đồng để hiểu rõ nguy cơ ung thư vú của phụ nữ. Các mô hình AI xác định rủi ro trên cơ sở chụp quang tuyến vú mang lại những lợi thế thiết thực hơn so với những mô hình rủi ro lâm sàng truyền thống do chỉ sử dụng một nguồn dữ liệu duy nhất: những bức ảnh chụp quang tuyến vú”.

Theo TS Arasu, một số tổ chức đã sử dụng AI để giúp các bác sĩ X quang phát hiện ung thư trên phim chụp quang tuyến vú. Điểm rủi ro trong tương lai của một phụ nữ, do mô hình AI tạo ra chỉ mất vài giây có thể được tích hợp vào báo cáo X quang cung cấp cho bệnh nhân và bác sĩ của bệnh nhân đó.

Ông nhấn mạnh: “Mô hình AI dự đoán rủi ro ung thư vú mang đến cho chúng ta cơ hội cá nhân hóa khả năng chăm sóc cho mọi phụ nữ, hiện không có sẵn trong hệ thống chăm sóc sức khỏe cả nước. Đây là một công cụ quan trọng, giúp hệ thống ý tế cung cấp thuốc chính xác, được cá nhân hóa ở cấp quốc gia”.

Theo SciTech Daily

SciTech Daily

Hạ tầng số

Trang web giả mạo datlichbhxh[.]com có giao diện tương tự trang chính thức. Ảnh: BHXHVN

Cảnh báo website giả mạo BHXH Việt Nam

BHXH Việt Nam vừa phát đi cảnh báo về việc xuất hiện website giả mạo, lợi dụng hình thức “đặt lịch làm việc” để thu thập thông tin cá nhân, lừa đảo và chiếm đoạt tài sản.

Công ước Hà Nội

Công ước Hà Nội được thực thi như thế nào?

Hôm nay, Lễ mở ký Công ước Liên hợp quốc chống tội phạm mạng (Công ước Hà Nội) được mở ký tại Hà Nội. Nội dung chính, cơ chế thực thi và ý nghĩa đối với phòng chống tội phạm mạng là những điều được nhiều người quan tâm.

ChatGPT Atlas. Ảnh: TechStock

Cách tải ChatGPT Atlas cho macOS và lưu ý khi cài đặt

OpenAI vừa cho ra mắt trình duyệt trí tuệ nhân tạo có tên là Atlas, kết hợp giữa khả năng duyệt web thông minh và trợ lý ảo cá nhân. Trình duyệt này ngay lập tức đã gây xôn xao cộng đồng mạng. Dưới đây là cách tải và cài đặt ChatGPT Atlas.

Màn hình chính của ứng dụng Canva

Cách tải thêm font chữ vào Canva trên Macbook và laptop Windows

Canva là một công cụ thiết kế trực tuyến tiện dụng dành cho những người không chuyên. Tuy nhiên, bộ font gốc của Canva hỗ trợ tiếng Việt chưa tốt. Vì thế, để có những font đẹp, hỗ trợ tốt tiếng Việt, bạn cần cài đặt thêm các bộ font từ bên ngoài