close Đăng nhập

Trí tuệ nhân tạo của IBM có thể dự đoán bệnh tâm thần phân liệt

Chỉ với biểu đồ lưu thông máu trong não, AI của IBM có thể dự đoán bệnh tâm thần phân liệt với tỉ lệ chính xác lên đến 74%.
Ảnh minh họa
Ảnh minh họa

Theo Engadget, tâm thần phân liệt tuy không phải là một loại bệnh rối loạn tâm thần phổ biến tại Mỹ, khi nó chỉ ảnh hưởng đến 1,2% dân số, nghĩa là vào khoảng 3,2 triệu người, nhưng hậu quả của căn bệnh này thì lại vô cùng nghiêm trọng. Tuy nhiên, nghiên cứu do IBM và trường Đại học Alberta thực hiện có thể sớm giúp đỡ các bác sĩ trong việc chuẩn đoán căn bệnh này và mức độ nghiêm trọng của các triệu chứng bằng cách sử dụng máy quét cộng hưởng từ (MRI) đơn giản cùng một mạng lưới thần kinh được xây dựng để theo dõi các dòng máu lưu thông trong não bộ.

Tiến sĩ Serdar Dursun, giáo sư tâm thần học và thần kinh học thuộc Đại học Alberta, cho hay: "Cách tiếp cận độc đáo, sáng tạo này mở ra những sư mới mẻ và tiến bộ trong hiểu biết của chúng ta về căn cứ thần kinh học của bệnh tâm thần phân liệt, điều này có thể giúp cải thiện các liệu pháp điều trị cũng như kiểm soát căn bệnh".

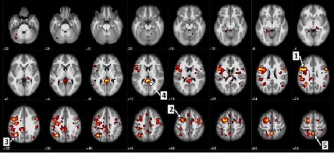
Bức ảnh chụp MRI cho thấy các phân tích, thống kê quan trọng về các dòng máu lưu thông trong não bộ (ảnh: IBM).

Nhóm nghiên cứu đầu tiên đã đào tạo mạng lưới thần kinh của hệ thống với bộ dữ liệu ảnh chụp MRI của 95 người từ Mạng lưới Nghiên cứu Chức năng Thông tin Y sinh (Function Biomedical Informatics Research Network), bao gồm các bản quét của cả hai nhóm bệnh nhân bị mắc chứng tâm thần phân liệt và nhóm được kiểm soát sức khỏe.

Những bức ảnh này minh họa các dòng lưu thông của máu qua các bộ phận khác nhau của não bộ khi bệnh nhân hoàn thành một bài kiểm tra đơn giản liên quan tới âm thanh. Từ dữ liệu này, mạng lưới thần kinh được kết hợp lại thành một mô hình tiên đoán về khả năng mắc chứng tâm thần phân liệt của một bệnh nhân, dựa trên sự lưu thông của máu trong não bộ của họ. Nó đã có thể phân biệt được chính xác đến 74% kết quả giữa nhóm được kiểm soát và những người mắc chứng tâm thần phân liệt.

Tiến sĩ Dursun cho hay: " Chúng tôi đã phát hiện ra một số lượng đáng kể các liên kết bất thường trong não bộ có triển vọng được khám phá với các nghiên cứu trong tương lai, và mô hình do AI tạo nên đã đưa chúng tôi bước một bước gần hơn trong việc tìm ra các mẫu ảnh chụp thần kinh khách quan mang dấu hiệu chuẩn đoán và triệu chứng của bệnh tâm thần phân liệt".

Hơn thế nữa, mô hình này cũng thành công trong việc dự đoán mức độ nghiêm trọng của triệu chứng một khi chúng đã xuất hiện. Những hiểu biết này có thể định hướng các nhà nghiên cứu đến một công cụ chuẩn đoán và các liệu pháp điều trị hiệu quả hơn. Watson, AI nổi tiếng nhất của IBM đã từng cho thấy rằng mạng lưới thần kinh có "năng khiếu" đáng kinh ngạc trong việc xây dựng các chế độ điều trị ung thư hiệu quả.

Theo Tạp chí Diễn đàn Đầu tư

http://vnreview.vn/tin-tuc-khoa-hoc-cong-nghe/-/view_content/content/2223312/tri-tue-nhan-tao-cua-ibm-co-the-du-doan-benh-tam-than-phan-liet

Tin công nghệ

Do Kwon (ảnh: Google)

Do Kwon đối mặt với bản án 40 năm tù

VietTimes – Do Kwon, người đồng sáng lập Terraform Labs, là kẻ chủ mưu đằng sau các loại tiền kỹ thuật số TerraUSD và Luna đã gây thiệt hại 40 tỉ USD cho rất nhiều nhà đầu tư.

Thể thao điện tử Việt Nam nhận huy chương vàng đầu tiên tại SEA Games 32.

Thể thao điện tử Việt Nam có huy chương vàng đầu tiên tại SEA Games 32

VietTimes – Chiều ngày 9/5, đội tuyển Thể thao điện tử Quốc gia Việt Nam đã vượt qua đội tuyển Thể thao điện tử Quốc gia Indonesia để đoạt ngôi quán quân tại nội dung đồng đội nam bộ môn Crossfire (Đột kích). Đây là huy chương vàng đầu tiên của thể thao điện tử Việt Nam tại SEA Games 32.