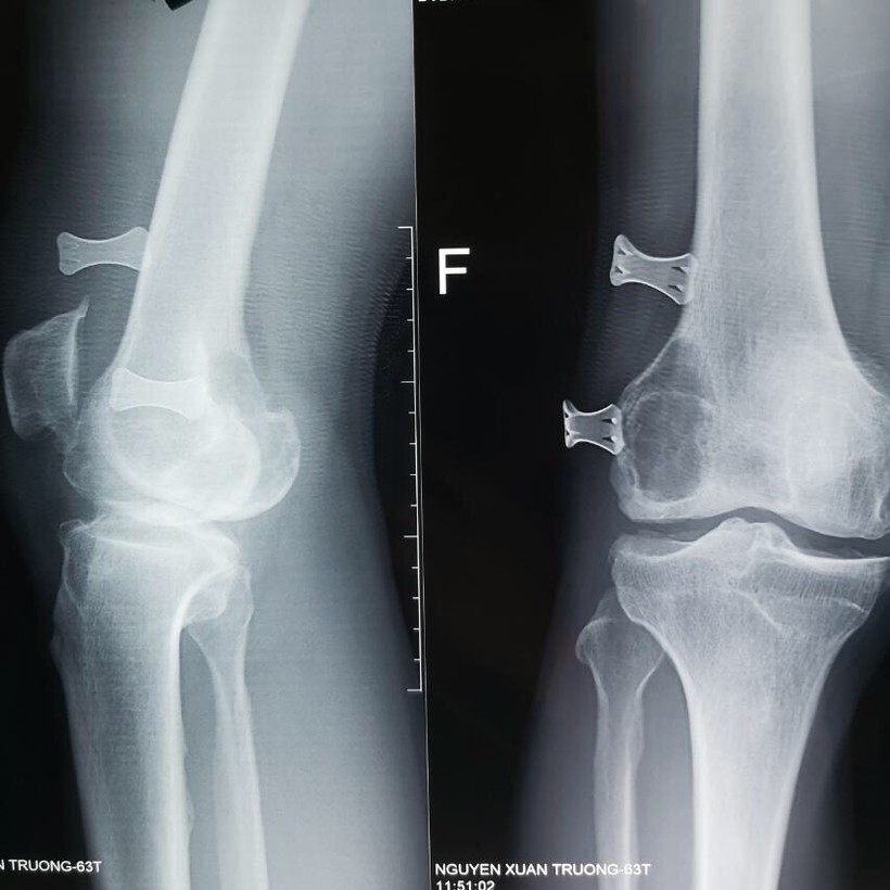
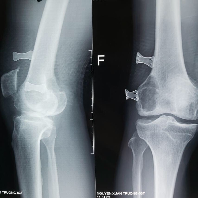
Bệnh nhân là ông N.X.T., 63 tuổi, sống ở phường Kỳ Bá, TP. Thái Bình. Trước đó, ông T. có tiền sử đau khớp gối đã 5 năm. Ông T. đã đi nhiều bệnh viện khác và chỉ điều trị nội khoa. Trước khi đến Bệnh viện Hữu nghị Việt Đức1 tuần, ông T. trượt chân ngã, đau đớn, không thể vận động nhiều, khớp gối chỉ gấp được 20°, trong khi bình thường khớp gối có thể gấp được 100° - 120°. Trên phim X-quang cho thấy bệnh nhân vừa bị thoái hóa khớp gối vừa có một khối u ở lồi cầu ngoài xương đùi.
![]() |
| PGS. TS. Nguyễn Mạnh Khánh khám bệnh cho bệnh nhân (Ảnh: BVCC) |
PGS. TS. Nguyễn Mạnh Khánh - Phó Viện trưởng Viện Chấn thương chỉnh hình, Trưởng khoa Phẫu thuật Chi trên và Y học thể thao, Bệnh viện Hữu nghị Việt Đức - cho biết: Trường hợp bệnh nhân rất khó để có thể chữa trị bởi nếu chỉ mổ u xương, lấy u, ghép xương thì không giải quyết được thoái hóa khớp gối, người bệnh vẫn đau đớn. Nếu không xử lý khối u mà chỉ điều trị thoái hóa khớp gối thì phải cân nhắc xử lý khối u xương kia như thế nào vì khối u sẽ phá hủy xương đùi.
Sau khi chẩn đoán kỹ, các bác sĩ đã quyết định xử lý cùng lúc 2 vấn đề này. Trong quá trình mổ, khớp gối của bệnh nhân có rất nhiều máu, khoảng 200 cc nước máu. Kiểm tra thấy khối u nang xương lồi cầu ngoài xương đùi và mảnh xương bị gãy hẳn ra gây chảy máu trong khớp. Sau khi bơm rửa làm sạch, các bác sĩ đã tiến hành đồng thời phẫu thuật vừa lấy u, vừa làm sạch tổ chức u, ghép xương vào chỗ khuyết, xử lý đồng thời thoái hóa khớp gối.
Sau 1 tuần phẫu thuật và điều trị tích cực tại bệnh viện, ông T. đã được xuất viện và sẽ được khám định kỳ thường xuyên để kiểm tra mức độ hồi phục của khớp gối.
![]() |
| Phim chụp X-quang khớp gối của bệnh nhân (Ảnh: BVCC) |
Theo BS. Khánh, người bệnh bị u xương từ lâu nhưng bị bỏ sót. Trước đó, ông T. chỉ đi khám vì một thoái hóa khớp gối và chỉ điều trị nội khoa. Khi để lâu, u xương đã phá hủy, chỉ cần một chấn thương nhẹ cũng gây ra gãy phần xương đó, mà lại gãy xương trên nền thoái hóa khớp gối, thay khớp gối sẽ trở nên khó khăn hơn rất nhiều, vì đồng thời phải xử lý mấy thương tổn cùng một lúc, vừa lấy u, vừa xem u phá hủy xương đến đâu, vấn đề ghép xương, vấn đề dự trù trang thiết bị dụng cụ khớp để lắp vào khớp gối sẽ khó khăn hơn rất nhiều so với những người bệnh chủ động.
Nếu bệnh nhân được phát hiện sớm ở giai đoạn chưa thoái hóa thì bác sĩ có thể chủ động trong việc lấy u ghép xương hoặc nếu biết bệnh nhân vừa có thoái hóa, vừa có u xương thì có thể chủ động phẫu thuật sớm cho người bệnh, tránh để đến lúc ngã, chấn thương, vỡ hẳn mảnh xương thì mới đến phẫu thuật.
Các bác sĩ khuyến cáo, khi người bệnh có u phải khám, phát hiện sớm và điều trị kịp thời trước khi khối u thực sự ảnh hưởng lớn đến chức năng vận động của chi thể, đặc biệt là những u có tỷ lệ chuyển thành ác tính.

