Bệnh viện Đa khoa Đức Giang cho biết, bệnh nhân L.H. (70 tuổi) nhập viện lúc 23h45 phút ngày 1/1/2020, tại Khoa Cấp cứu trong tình trạng tức ngực trái, đau thượng vị, khó thở và chỉ sau 5 phút nhập viện bệnh nhân đã đột ngột ngừng tuần hoàn, mất ý thức, ngừng thở, mạch bẹn khó bắt, điện tâm đồ trên Monitoring, nhịp nhanh thất.
Ngay lập tức, các bác sĩ đã tiến hành cấp cứu ngừng tuần hoàn, sốc điện chuyển nhịp, kiểm soát hô hấp bằng đặt nội khí quản, dùng thuốc vận mạch.
Sau sốc điện 3 lần, bệnh nhân có nhịp trở lại, kíp bác sỹ cấp cứu đã phát động quy trình báo động đỏ, để Khoa Điều trị tích cực chống độc, Khoa Nội Tim Mạch phối hợp cấp cứu.
Sau 20 phút cấp cứu, dưới tác dụng của thuốc vận mạch, bệnh nhân thở theo máy, khí máu ổn định, điện tâm đồ: rung nhĩ, tần số thất chậm: 38 ck/phút, siêu âm tim: giảm vận động vùng.
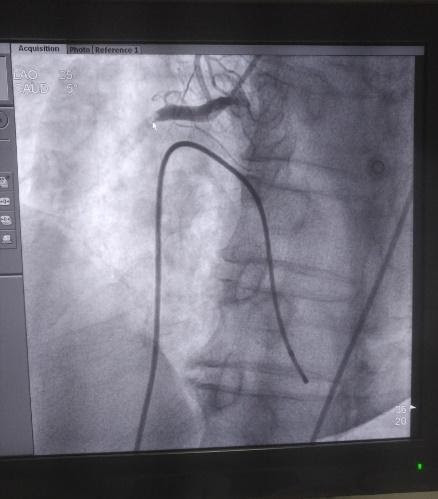
![]() |
| Hình ảnh huyết khối gây tắc cụt động mạch vành phải từ đoạn I. Ảnh: Bệnh viện Đa khoa Đức Giang |
Trước tình hình đó, các bác sỹ đã thảo luận nhanh và đưa đến chẩn đoán bệnh nhân bị ngừng tuần hoàn do nhồi máu cơ tim cấp, cần can thiệp cấp cứu. Sau 45 phút, ca can thiệp thành công, huyết áp bệnh nhân được kiểm soát tốt.
Sau phẫu thuật, bệnh nhân tiếp tục được theo dõi và điều trị nội khoa sau can thiệp, điều chỉnh thuốc chống đông nhằm tránh thuyên tắc stent động mạch vành.
Hiện, bệnh nhân đã hồi phục hoàn toàn và xuất viện sau 6 ngày điều trị.
BS. Nguyễn Mạnh Thắng - Trưởng khoa Tim mạch, Bệnh viện Đa khoa Đức Giang - cho biết: “Bệnh nhân có tiền sử đau ngực trái, tăng huyết áp, gout, điều trị không đều, đã có nhiều cơn đau ngực trái nhưng không đi khám. Từ ca bệnh này, khuyến cáo các bệnh nhân có biểu hiện trên nên đi khám định kì, để phát hiện những biến chứng do tăng huyết áp trong đó có biến chứng nguy hiểm là nhồi máu cơ tim.”
