Với việc đặt Stent Graft, mạch máu của bệnh nhân N.V.Q (63 tuổi) được hỗ trợ bằng một khung giá đỡ kim loại phủ màng sợi tổng hợp. Khung giá này giúp tái tạo thành động mạch bị tổn thương, làm cho thành động mạch chủ cứng cáp hơn, không bị vỡ; đồng thời điều chỉnh dòng chảy của máu đúng với sinh lý, giúp bệnh nhân tránh bị phình động mạch.
Đây là kỹ thuật cao trong can thiệp các bệnh về mạch máu, mang lại nhiều lợi ích cho người bệnh. Trong khi cách điều trị truyền thống phải mổ hở để thay đoạn động mạch chủ bị tổn thương bằng 1 ống ghép vật liệu nhân tạo PTFE, nên bệnh nhân phải chịu nhiều đau đớn, nguy hiểm do cuộc mổ kéo dài, thời gian nằm viện lâu, nhiều biến chứng sau mổ, thì việc áp dụng kỹ thuật Stent-Graft giúp rút ngắn thời gian phẫu thuật, thời gian nằm viện và hiệu quả vượt trội.
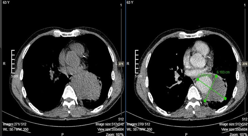
![]() |
| Ảnh chụp CT cho thấy động mạch của anh Q. bị phình |
Bác sĩ Nguyễn Kim Anh - Trưởng khoa Lồng ngực mạch máu của Bênh viện cho biết: “Kỹ thuật đặt Stent Graft cần hai điểm vào rất nhỏ, gây tê tại chỗ, không gây mê như mổ hở bình thường. Với kỹ thuật này, bệnh nhân chỉ cần nằm hậu phẫu theo dõi từ 2 đến 3 ngày rồi có thể xuất viện đi về. Đây là một kỹ thuật tiên tiến so với điều trị mổ mở vì tỉ lệ mất máu, nhiễm trùng sau mổ của kỹ thuật mổ hở nặng hơn so với đặt Stent Graft trong điều trị phình động mạch chủ ngực”.
Đặt Stent Graft thường được áp dụng tại các nước phát triển. Còn tại Việt Nam, kỹ thuật này chỉ được áp dụng tại các bệnh viện tuyến trung ương, bệnh viện tại các thành phố lớn, do khó thực hiện, đòi hỏi bác sĩ phải có kinh nghiệm, trình độ chuyên môn cao với sự hỗ trợ của máy móc hiện đại.
Theo PGS.TS Nguyễn Văn Phan - Trưởng khoa Phẫu thuật, Viện Tim TP. Hồ Chí Minh, với kết quả này, Bệnh viện quận Thủ Đức đã thành công trong kỹ thuật mổ tim ít xâm lấn, có đủ điều kiện về cơ sở vật chất, con người để thực hiện những kỹ thuật cao trong điều trị.
| Động mạch chủ là động mạch lớn nhất trong cơ thể đưa máu từ tim đi nuôi toàn bộ cơ thể. Vị trí của động mạch chủ nằm ở ngực, phía trước cột sống, cấp máu cho tim, não và đầu cổ, cột sống. Kích thước bình thường của động mạch chủ ngực tăng dần cùng với tuổi bệnh nhân và nằm trong khoảng từ 2 đến 3,5 cm. Phình động mạch chủ là hiện tượng tăng kích thước động mạch chủ dạng hình túi hoặc hình thoi, gây ra do một điểm yếu trên thành mạch. Đường kính động mạch chủ ngực càng lớn, nguy cơ gây vỡ phình càng tăng dẫn đến nguy cơ tử vong càng cao. |
