1. Môi khô hoặc nứt
![]() |
Làn da khô là dấu hiệu rõ ràng của dị ứng. Trong trường hợp này, hãy chú ý đến mỹ phẩm mà bạn sử dụng cũng như các sản phẩm vệ sinh răng miệng, thực phẩm, và thậm chí cả thuốc men. Các vết nứt ở các góc miệng cho thấy bạn đang thiếu vitamin B, A và E. Nếu bạn bị khô mắt, khô miệng và các vấn đề với hệ tiêu hóa, bạn nên đến khám bác sĩ vì rất có thể bạn đang mắc hội chứng Sjögren.
2. Rụng lông mày
![]() |
Lông mày dày không chỉ là xu hướng được các chị em yêu thích mà còn hiệu cho thấy sức khỏe tốt. Quá trình rụng lông mày khá bình thường nhưng nếu bạn mất quá nhiều lông mày hoặc thậm chí biến mất hoàn toàn, hãy liên hệ với bác sĩ ngay lập tức. Đây có thể là dấu hiệu cho thấy tuyến giáp gặp vấn đề.
3. Móng tay dễ gãy
![]() |
Móng tay phản ánh sức khỏe khá chính xác. Bất kỳ sự thay đổi nào về màu sắc hay cấu trúc đều là tín hiệu đáng báo động . Móng tay mỏng và nhợt nhạt có thể là dấu hiệu thiếu máu và thiếu sắt trong cơ thể còn khi móng tay bị vàng có thể là biểu hiện rối loạn về gan và dạ dày hoặc nhiễm nấm. Các đốm trắng và sọc cho thấy cơ thể bạn đang thiếu kẽm, đồng và iốt, và móng có thể trở nên rất giòn khi thiếu vitamin, canxi, sắt và beta-carotene.
4. Môi nhợt nhạt thiếu sức sống
![]() |
Nếu đường viền của môi dưới bị sưng lên và có những bong bóng nhỏ xuất hiện, nhiều khả năng bạn bị nhạy cảm với tia cực tím. Do đó, bạn cần giảm tiếp xúc với ánh nắng mặt trời bằng cách sử dụng các kem chống nắng. Nếu môi bị sưng nặng và đỏ bất thường, hãy chú ý hơn đến mỹ phẩm và kem đánh răng, an toàn nhất là đến khám bác sĩ.
5. Mặt đỏ
![]() |
Nếu loại trừ những thay đổi sinh lý như nhiệt độ, xoa bóp hoặc rượu, thì còn 3 lý do khác dẫn đến đỏ mặt. Đối với phụ nữ sau 40 tuổi, mặt đỏ có thể là do mức hormone giảm ở thời kỳ mãn kinh. Một lý do khác có thể do bạn đang bị nhiễm trùng demodicosis. Ngoài ra khi bạn bị đỏ mặt đi kèm với cơn chóng mặt đột ngột có thể do áp suất thay đổi.
6. Gót chân khô
![]() |
Da chân bị khô do thiếu vitamin A và E. Nó cũng có thể do nấm ảnh hưởng đến tình trạng chung của lớp biểu bì. Nếu bạn sự chăm sóc cơ thể thích hợp và cung cấp đủ lượng vitamin mà chân vẫn bị khô da thì đây có thể là dấu hiệu của sự gián đoạn nội tiết.
7. Tay khô và da khô trên cơ thể
![]() |
Mùa đông khiến bạn dễ bị khô da, do đó, bạn nên sử dụng kem dưỡng ẩm hoặc uống đủ nước để cung cấp đủ nước cho cơ thể. Nếu biện pháp trên không hiệu quả, bạn nên đến khám bác sĩ vì khô da còn có thể là dấu hiệu của bệnh tiểu đường và suy giáp.
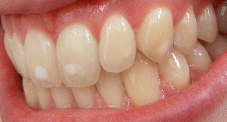
8. Vết trắng trên răng
![]() |
Nhiễm độc fluor ở răng là một căn bệnh mãn tính xuất hiện ở cả và trước quá trình mọc răng (khi tiêu thụ một lượng lớn nước hoặc các sản phẩm có hàm lượng hợp chất flo cao). Nếu tình trạng này ở mức độ đáng báo động có thể dẫn đến phân hủy men răng và rụng răng.
9. Rụng tóc
![]() |
Trung bình, mỗi người rụng khoảng 100 sợi tóc mỗi ngày vì nang tóc trải qua các giai đoạn phát triển nhất định có thể kéo dài từ 2 đến 8 năm. Khi giai đoạn tăng trưởng kết thúc, sợi tóc rụng và một sợi tóc mới bắt đầu mọc sau 2 tháng. Điều này có nghĩa là tại một thời điểm, 80% -90% tóc của một người đang phát triển, trong khi phần còn lại đang trong giai đoạn nghỉ ngơi.
Tuy nhiên, nếu bạn đã nhận thấy lượng tóc rụng nhiều bất thường, bạn nên tham khảo ý kiến bác sĩ vì rất có thể bạn đang phải đối với nhiều căn bệnh ẩn đằng sau triệu chứng này bao gồm nhiễm trùng da, rối loạn tuyến giáp, rối loạn miễn dịch…
Theo 5 Fun Facts








