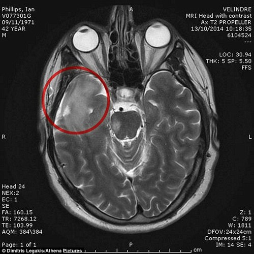
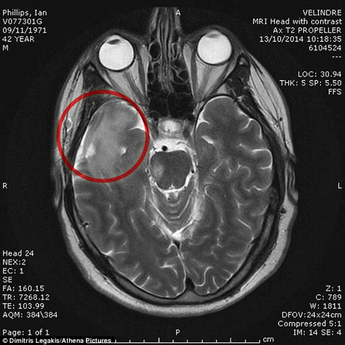
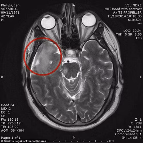
Sau khi đến bệnh viện với một cơn đau đầu khủng khiếp, Ian Phillips - một doanh nhân người Anh, đã nhận được kết quả chẩn đoán khá tồi tệ. Theo kiểm tra sơ bộ, các bác sĩ cho biết Ian có một khối u to bằng quả chanh ở trong não và họ tuyên bố rằng thời gian sống sót của anh chỉ còn kéo dài được khoảng 3 năm nữa.
Sau khi phát hiện có khối u, Ian được tiến hành phẫu thuật khẩn cấp và loại bỏ khối u sau 9 tiếng đồng hồ nhưng các bác sĩ cảnh báo, đầu anh sẽ xuất hiện khối u trong thời gian tiếp theo. Mỗi năm, Ian phải chi 110.000 USD để chăm sóc sức khỏe, chẩn đoán hình ảnh.
Ian Phillips (Anh) đã qua đời ở tuổi 44. Anh đã dành tháng cuối cùng của mình để cảnh báo về sự nguy hiểm của bức xạ điện thoại di động – nguyên nhân gây ra cái chết của anh.
Ian cho rằng nguyên nhân của căn bệnh ung thư não này là do anh sử dụng điện thoại di động quá nhiều giờ trong một ngày. Bởi công việc của Ian là quản lý của một công ty lớn nên mỗi tháng hầu như anh phải dành hơn 100 giờ để nghe điện thoại. “Công việc chính của tôi là sử dụng điện thoại di động để làm việc. Mỗi ngày, tôi đều có cuộc họp kéo dài hai tiếng qua điện thoại”, anh Ian cho hay.
Trả lời phỏng vấn vào tháng 2/2015, anh Ian cho hay: “Cuối mỗi ngày sau khi kết thúc công việc, tai của tôi thường đỏ ửng lên. Tôi không nghĩ rằng nó đã ảnh hưởng đến não của mình như vậy”. Kết hợp với quá trình hóa trị và xạ trị, Ian cũng chăm chỉ luyện tập thể dục, uống thuốc đều đặn và duy trì một chế độ ăn uống lành mạnh.
Các bác sĩ đã tìm thấy khối u có kích thước như quả chanh trong đầu Ian.
Cho dù đã cố gắng chống chọi lại căn bệnh hiểm nghèo này, nhưng cuối cùng Ian vẫn không thể nào qua khỏi được. Trước khi qua đời, anh Ian đã dành thời gian để cảnh báo cho mọi người về sự nguy hiểm của việc sử dụng điện thoại, nó đặc biệt nguy hiểm đối với trẻ em. “Hộp sọ của trẻ rất nhẹ và bức xạ từ điện thoại di động sẽ dễ dàng thâm nhập vào não bộ”, Ian cho biết.
Các vết sẹo còn lại sau khi anh Ian phẫu thuật để loại bỏ khối u não.
Không chỉ nâng cao nhận thức của mọi người về tác động nguy hiểm của điện thoại di động tới não, anh Ian còn cố gắng làm tăng hàng ngàn bảng Anh cho quỹ từ thiện bệnh não Braintrust. Hành động này của Ian được rất nhiều người ủng hộ, trong đó có ngôi sao bóng đá Arsenal Aaron Ramsey, ngôi sao bóng bầu dục xứ Wale Jonathan Davies và Rhys Priestland.
Từ khi xác định nguyên nhân dẫn đến căn bệnh ung thư não của mình, Ian đã sử dụng thiết bị tai nghe điện thoại bên ngoài để tránh áp tai trực tiếp vào điện thoại di động.
Nhiều nghiên cứu trước đã được tiến hành để kiểm tra mối liên hệ giữa điện thoại di động và bệnh ung thư não. Các nhà nghiên cứu tại Úc đã chứng minh rằng bức xạ từ điện thoại di động không phải là nguyên nhân gây ra bệnh ung thư. Tuy nhiên, một nghiên cứu gần đây lại cho thấy một nguy cơ xuất hiện u não ở những người sử dụng điện thoại di động quá nhiều giờ trong ngày.
Mặc dù chưa có kết luận chính thức về vấn đề này nhưng đây cũng là lời cảnh báo đế tất cả mọi người, đặc biệt là trẻ nhỏ. Hãy hạn chế sử dụng điện thoại di động để bảo vệ tốt nhất cho sức khỏe của bản thân.
Theo Khám Phá



