close Đăng nhập

Sỏi túi mật có cần phải mổ hay không?

VietTimes – Sỏi túi mật là một vấn đề sức khỏe phổ biến, ngày càng có nhiều bệnh nhân được chẩn đoán mắc sỏi túi mật với 22,6 - 80% bệnh nhân sỏi mật không có triệu chứng. Vậy trường hợp nào nên phẫu thuật?

Chăm sóc bệnh nhân ở Khoa Hồi sức tích cực Bệnh viện Bạch Mai
Chăm sóc bệnh nhân ở Khoa Hồi sức tích cực Bệnh viện Bạch Mai

Theo TS.BS.Nguyễn Ngọc Hùng và BS.Nguyễn Huy Du - Khoa Phẫu thuật tiêu hóa - Gan mật tụy, Bệnh viện Bạch Mai - thì nhiều trường hợp được chỉ định phẫu thuật sớm sẽ giảm thiểu nguy cơ biến chứng và tử vong. Đồng thời, qua một số trường hợp điển hình được điều trị phẫu thuật tại Khoa Phẫu thuật Tiêu hóa - Gan mật tụy, các bác sĩ đã có những tư vấn cho người bệnh bị sỏi túi mật.

Các ca bệnh điển hình

Bệnh nhân N.T.M. (nữ 73 tuổi), bị suy tim, tăng huyết áp, tiền sử mổ u màng não di chứng động kinh, yếu nửa người trái, thay khớp háng trái toàn phần, phát hiện sỏi túi mật cách 3 năm. Bệnh nhân vào viện vì đau bụng vùng hạ sườn phải, đau thắt lưng phải 10 ngày, kèm sốt 38,5 độ.

Sau khi thực hiện các xét nghiệm và thăm khám, bệnh nhân được chẩn đoán viêm túi mật cấp do sỏi, ứ mủ thận phải do sỏi niệu quản phải, viêm phổi và nhiều bệnh nền.

Do người bệnh có nhiều nguồn nhiễm khuẩn (đường mật, đường tiết niệu) trên nền nhiều bệnh lý phối hợp phức tạp, các bác sĩ quyết định đặt dẫn lưu túi mật ra ngoài dưới hướng dẫn siêu âm (để giải quyết tạm thời tình trạng nhiễm trùng đường mật) và phẫu thuật nội soi lấy sỏi niệu quản phải và dẫn lưu bể thận - niệu quản phải.

Sau 1 tháng điều trị viêm phổi, bệnh nhân ổn định hơn, được chuyển khoa Phẫu thuật Tiêu hóa - Gan mật tụy để phẫu thuật cắt túi mật. Khi mổ, việc phẫu tích gặp rất nhiều khó khăn do túi mật viêm lâu ngày nhưng may mắn vẫn thực hiện được qua nội soi. Sau mổ bệnh nhân ổn định và ra viện sau mổ 5 ngày, tuy nhiên tổng thời gian nằm viện lên đến gần 2 tháng.

Một trường hợp nữa là bệnh nhân N.V.C. (73 tuổi), bị tiểu đường, tăng huyết áp, tai biến mạch não di chứng yếu nửa người trái, phát hiện sỏi túi mật 2 năm không điều trị, đau bụng hạ sườn phải 1 tuần kèm theo sốt 38,5 độ.

Bệnh nhân được chẩn đoán viêm phúc mạc mật do viêm túi mật hoại tử do sỏi kẹt cổ túi mật, sỏi ống mật chủ, tăng huyết áp, đái tháo đường, nhồi máu não cũ di chứng yếu nửa người trái.

Bệnh nhân được chỉ định mổ mở cấp cứu cắt túi mật, mở ống mật chủ lấy sỏi, dẫn lưu đường mật. Sau mổ do tình trạng nhiễm trùng nặng nên thời gian nằm viện kéo dài 2 tuần.

Bệnh nhân P.T.M. (63 tuổi) là ca bệnh điển hình cho bệnh sỏi túi mật. Bệnh nhân phát hiện sỏi túi mật cách 2 năm, viêm tụy cấp cách 1 năm và nhập viện do đau bụng vùng hạ sườn phải 3 ngày, kèm theo sốt 38,5 độ C, vàng da tăng dần.

Nhập viện tại Bệnh viện Bạch Mai, bệnh nhân được chẩn đoán sỏi túi mật biến chứng, tắc mật, nhiễm trùng đường mật do sỏi ống mật chủ, sỏi túi mật. Bệnh nhân phải qua 2 lần can thiệp để điều trị sỏi với kỹ thuật nội soi mật tụy ngược dòng (ERCP) để lấy sỏi ống mật chủ trước và đặt stent dẫn lưu đường mật. Sau 3 ngày, bệnh nhân được phẫu thuật nội soi cắt túi mật và được ra viện sau 3 ngày phẩu thuật.

Chuyên gia khuyến cáo

TS.BS.Nguyễn Ngọc Hùng - cho biết, sỏi túi mật là bệnh lý thường gặp, ở Việt Nam gặp khoảng 8-10% dân số. Nhiều bệnh nhân khi được phát hiện mắc sỏi túi mật chưa có triệu chứng (22,6 - 80%). Sỏi mật sẽ không hòa tan hoặc biến mất theo thời gian, khi đã hình thành sẽ tồn tại, tiến triển tăng, sau 9 - 20 năm sẽ có 11,7% đến 23,7% xuất hiện triệu chứng, nguy cơ bị biến chứng lên tới 30,3%.

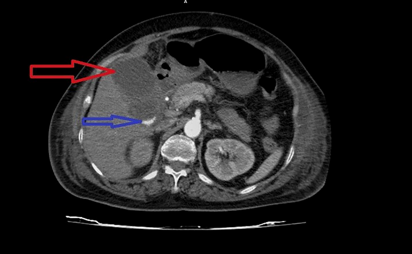
ảnh 1.png
Phim chụp vị trí sỏi túi mật của một trường hợp bệnh điển hình (ảnh BVBM)

Triệu chứng phổ biến nhất là đau dưới sườn phải. Nếu không phát hiện, điều trị có thể dẫn đến các biến chứng nghiêm trọng như viêm túi mật cấp hoại tử, tắc mật, viêm tụy cấp, thấm mật phúc mạc, viêm phúc mạc mật...

“Cho đến gần đây, phẫu thuật cắt túi mật chỉ được thực hiện sau khi các triệu chứng hoặc biến chứng đã xảy ra, tuy nhiên khi đó hậu quả đã có thể rất nặng nề. Vậy câu hỏi là có nên thực hiện phẫu thuật cắt túi mật do sỏi túi mật từ khi chưa có triệu chứng?”- TS.BS.Nguyễn Ngọc Hùng nói.

Còn BS. Nguyễn Huy Du thì cho rằng, trước đây, việc cắt túi mật do sỏi khi chưa có triệu chứng không được khuyến cáo vì phẫu thuật có rủi ro nhất định do gây mê, kĩ thuật phẫu thuật liên quan đến chảy máu, rò mật, tổn thương đường mật... Ngoài rủi ro trong mổ, sau mổ cắt túi mật, người bệnh có thể gặp hội chứng sau cắt túi mật: đau bụng, khó tiêu, vàng da do sỏi ống mật chủ, hội chứng mỏm ống cổ túi mật, hẹp đường mật, rò mật, chít hẹp cơ Oddi.

Tuy nhiên, những biến chứng này lại thường liên quan những khó khăn kĩ thuật khi mổ những trường hợp sỏi túi mật để muộn, có biến chứng, hay gặp nhất là viêm túi mật cấp khi đó, thường phải mổ cấp cứu, nguy cơ biến chứng tổn thương đường mật chính cao gấp 2 - 8 lần, việc này đồng nghĩa với gia tăng chi phí điều trị và ảnh hưởng vĩnh viễn đến chất lượng cuộc sống của người bệnh về sau.

Việc cắt bỏ túi mật ở những bệnh nhân sỏi không có triệu chứng gần như chắc chắn có thể thực hiện mổ nội soi, chỉ 1,5% phải chuyển mổ mở qua đó ngăn ngừa các nguy cơ liên quan đến mổ mở (đau, chậm phục hồi, thoát vị vết mổ, tắc ruột, không thẩm mĩ...) và làm giảm 33% nguy cơ tử vong so với mổ mở. Khi có triệu chứng và biến chứng, tỷ lệ chuyển mổ mở lên tới 26%.

“Trở lại với các trường hợp điển hình bên trên, do phát hiện và điều trị trễ nên đều phải nằm viện dài ngày với chi phí rất tốn kém, trong khi nếu được điều trị phẫu thuật từ khi chưa có triệu chứng thì quá trình điều trị đã có thể đơn giản hơn nhiều và thường chỉ phải nằm viện 2 - 3 ngày. Tỷ lệ thành công của phẫu thuật cắt túi mật dự phòng rất cao 99,5%, tại khoa Phẫu thuật Tiêu hóa - Gan mật tụy, Bệnh viện Bạch Mai cho đến nay cũng đã thực hiện an toàn hàng ngàn ca tương tự”- các bác sĩ khuyến cáo.

Bên cạnh đó, các bác sĩ cho rằng, với sỏi túi mật không triệu chứng, lựa chọn phẫu thuật cắt túi mật nên được xem xét. Để làm được điều này, người bệnh và gia đình cần được cung cấp đầy đủ thông tin về lợi ích, rủi ro và chi phí để có được lựa chọn sáng suốt. Người bệnh có quyền tự chủ để lựa chọn hướng điều trị phù hợp nhất; đặc biệt với những người có nguy cơ, việc lựa chọn cắt túi mật dự phòng để giảm nguy cơ biến chứng, tử vong cần được ủng hộ.

Y tế

Tổng bí thư Tô Lâm dự khởi công Dự án Khu phức hợp Y tế - Chăm sóc sức khỏe người cao tuổi ĐHYHN

Tổng bí thư Tô Lâm dự khởi công Dự án Khu phức hợp Y tế - Chăm sóc sức khỏe người cao tuổi ĐHYHN

Hướng tới chào mừng Đại hội đại biểu toàn quốc lần thứ XIV của Đảng, ngày 17/1, Liên danh chủ đầu tư gồm Bệnh viện Đại học Y Hà Nội (thừa ủy quyền của Trường Đại học Y Hà Nội) - Tổng Công ty Đầu tư và Phát triển nhà Hà Nội (HANDICO) - Công ty Cổ phần Thiết bị và Truyền thông NGS đã tổ chức Lễ khởi công Dự án Khu phức hợp Y tế - Chăm sóc sức khỏe người cao tuổi Đại học Y Hà Nội tại Bệnh viện Đại học Y Hà Nội cơ sở Hoàng Mai (phường Hoàng Mai, thành phố Hà Nội).

Bệnh viện đầu tiên tự xây dựng app khám bệnh

Bệnh viện đầu tiên tự xây dựng app khám bệnh

Là BV đầu tiên tự xây dựng ứng dụng khám bệnh, BV Da liễu Trung ương đã đưa chuyển đổi số đi vào thực chất, để cùng với bệnh án điện tử, chữ ký số và thanh toán trực tuyến, giúp người bệnh giảm chờ đợi và nâng cao hiệu quả phục vụ.

Ngừng tiếp nhận hồ sơ đăng ký thuốc của Pymepharco

Ngừng tiếp nhận hồ sơ đăng ký thuốc của Pymepharco

Ba lần vi phạm chất lượng trong vòng một năm, Công ty Cổ phần Pymepharco bị Cục Quản lý Dược ngừng tiếp nhận hồ sơ đề nghị cấp, gia hạn giấy đăng ký lưu hành thuốc và nguyên liệu làm thuốc trong thời hạn 18 tháng.

Co giật thoáng qua cảnh báo tụ máu não mạn tính nguy hiểm

Co giật thoáng qua cảnh báo tụ máu não mạn tính nguy hiểm

Một người đàn ông 50 tuổi suýt mất mạng vì những cơn co giật ngắn tưởng vô hại. Bác sĩ Bệnh viện Bệnh Nhiệt đới Trung ương phát hiện khối tụ máu mạn tính dưới màng cứng đang chèn ép não nặng, chỉ lộ diện khi khai thác kỹ bệnh sử và chụp MRI.