Ấn vào đây để nhận tin thông báo mới nhất từ Viettimes.vn

RSS Mobile
  • Theo dõi chúng tôi:
Viettimes - tin tức và phân tích chuyên sâu kinh tế, quốc tế, y tế
  • Kinh tế - Dữ liệu
    • Dữ liệu
    • Kinh Doanh
    • Bất động sản
  • Thời sự - Xã Hội
    • Xã hội
    • Y tế
    • Giáo dục
    • Pháp luật
  • Khoa học - Công nghệ
    • Chuyển đổi số
    • Internet
    • Xe
    • Mobile
  • Thế giới
    • Toàn cảnh
    • Phân tích
    • Chuyện lạ
  • Truyền thông số
    • Tin tức
    • Hoạt động Hội viên
  • Chuyện doanh nhân
  • Multimedia
    • Ảnh
    • Video
    • Emagazine
    • Infographic
  • Cải chính

Từ khóa: #động mạch trực tràng

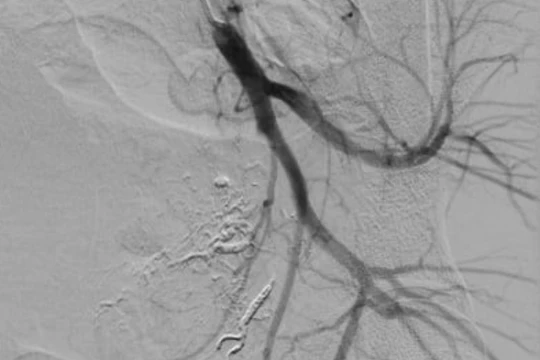
Hình ảnh sau nút mạch quanh động mạch trực tràng của bệnh nhân (Ảnh - BVCC)

90 phút “cân não” cứu sống sản phụ bị tổn thương động mạch trực tràng lần đầu tiên xuất hiện ở VN

VietTimes – Các bác sĩ ở Trung tâm Điện quang, Bệnh viện Bạch Mai, vừa cứu sống sản phụ bị tổn thương động mạch trực tràng hiếm gặp lần đầu tiên xuất hiện tại Việt Nam.

Tin mới

Đề xuất giảm 70% tiền chuyển mục đích từ đất nông nghiệp sang đất ở

Đà Nẵng dạy ngoại ngữ cho đội ngũ xích lô du lịch

Bí ẩn về những chú chó lông xanh ở Chernobyl đã được giải mã

Binh sĩ lên truyền hình quốc gia tuyên bố đảo chính, giải tán chính phủ ở Benin

Nhật Bản tố tiêm kích Trung Quốc chiếu radar gần Okinawa, Bắc Kinh phản bác gay gắt

Thúc đẩy Kinh tế số

Chủ tịch Arobid Trần Văn Chín tiết lộ “chìa khóa số” giúp doanh nghiệp Việt vươn ra thế giới

Chủ tịch Arobid Trần Văn Chín tiết lộ “chìa khóa số” giúp doanh nghiệp Việt vươn ra thế giới

Thứ trưởng Bộ KH&CN Bùi Thế Duy phát biểu tại Hội nghị.

Việt Nam thúc đẩy hình thành hệ sinh thái 5G – AI cho phát triển bền vững ASEAN

Giải thưởng VDA tạo động lực mạnh mẽ để tổ chức, doanh nghiệp vươn lên làm chủ công nghệ

Giải thưởng VDA tạo động lực mạnh mẽ để tổ chức, doanh nghiệp vươn lên làm chủ công nghệ

Giải thưởng VDA là hoạt động thiết thực hưởng ứng tinh thần Nghị quyết số 57 của Bộ Chính trị về đột phá phát triển khoa học, công nghệ, đổi mới sáng tạo và chuyển đổi số quốc gia.

Phát động Giải thưởng Chuyển đổi số Việt Nam 2025 "VDA là giải thưởng danh giá, thể hiện nỗ lực chuyển đổi số quốc gia"

VDA đóng góp tích cực vào sự phát triển kinh tế số, xã hội số, chính phủ số

VDA đóng góp tích cực vào sự phát triển kinh tế số, xã hội số, chính phủ số

TRANG CHỦ

Bộ Tài chính đề xuất chuyển từ đất nông nghiệp sang đất ở chỉ phải nộp 30%. Ảnh: Bình An

Đề xuất giảm 70% tiền chuyển mục đích từ đất nông nghiệp sang đất ở

Bất ngờ: Nhiều mẫu xe côn tay hot giảm giá để cạnh tranh xe máy điện

Bất ngờ: Nhiều mẫu xe côn tay hot giảm giá để cạnh tranh xe máy điện

Hình ảnh những chú chó có màu xanh lam được tổ chức Dogs of Chernobyl chia sẻ. Ảnh: DM.

Bí ẩn về những chú chó lông xanh ở Chernobyl đã được giải mã

Binh lính tuyên bố đảo chính quân sự ở Benin vào ngày 7/12 trên kênh truyền hình quốc gia. Ảnh: Reuters.

Binh sĩ lên truyền hình quốc gia tuyên bố đảo chính, giải tán chính phủ ở Benin

Trung tâm hành chính di dời, bất động sản các tỉnh sáp nhập giờ ra sao?

Trung tâm hành chính di dời, bất động sản các tỉnh sáp nhập giờ ra sao?

Viettimes - tin tức và phân tích chuyên sâu kinh tế, quốc tế, y tế App Store Google Play

TẠP CHÍ ĐIỆN TỬ VIETTIMES

Cơ quan của Hội Truyền thông số Việt Nam

Giấy phép báo chí điện tử số 699/GP-BTTTT do Bộ trưởng Thông tin và Truyền thông cấp ngày 21/12/2015

Tổng Biên tập: Nguyễn Bá Kiên

Tòa soạn: LK16-18, Khu đô thị Hinode Royal Park, Kim Chung, Hoài Đức, Hà Nội; Điện thoại/fax: (024)32 151175

VP đại diện tại miền Nam: Tầng 3, số 54, đường C1, phường 13, quận Tân Bình, TP.HCM

® Chỉ được đăng tải nội dung thông tin khi có sự đồng ý bằng văn bản của Tạp chí Viettimes.

Email: toasoan@viettimes.vn

Đường dây nóng: 0862 774 832

Liên hệ quảng cáo: 093 228 8166