Từ năm 2026, người dân sẽ được khám sức khỏe định kỳ hoặc sàng lọc miễn phí theo Nghị quyết 72 của Chính phủ. Bộ Y tế đang xây dựng kế hoạch chi tiết để đảm bảo chính sách đi vào cuộc sống, người dân dễ tiếp cận và được thụ hưởng thực chất.
VietTimes – Hưởng ứng ngày Bệnh phổi tắc nghẽn mạn tính toàn cầu năm 2023, Bệnh viện Bạch Mai sẽ tổ chức khám, tư vấn miễn phí bệnh phổi tắc nghẽn mạn tính cho người dân vào ngày 25/11.
VietTimes – Trong 15 năm, chương trình "Trái tim cho em" đã vận động được hơn 210 tỉ đồng để can thiệp, phẫu thuật, chữa khỏi bệnh tim bẩm sinh cho gần 7.000 trẻ và tài trợ trang thiết bị cho 7 bệnh viện, trung tâm tim mạch trên toàn quốc.
VietTimes – Dị tật tiết niệu sinh dục đứng số 1 trong các dị tật bẩm sinh. Trong đó, dị tật lỗ đái thấp chiếm 1/300 trẻ nam. Can thiệp sớm sẽ giúp trẻ tránh được nguy cơ nhiễm trùng tiết niệu, ảnh hưởng tới bộ phận sinh dục.
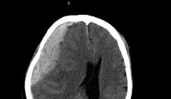
VietTimes – Dị dạng mạch máu não là căn bệnh nguy hiểm, có thể dẫn đến vỡ mạch, gây đột quỵ, động kinh co giật. Để giúp người dân phòng tránh bệnh này, ngày 31/10, Bệnh viện Hữu nghị Việt Đức sẽ tổ chức khám và tư vấn miễn phí với sự tham gia của PGS.TS. Đồng Văn Hệ - Phó Giám đốc Bệnh viện Hữu nghị Việt Đức, Chủ tịch Hội Phẫu thuật Thần kinh ASEAN.
VietTimes – Trong đại dịch Covid-19, những bệnh nhân béo phì mắc Covid-19 luôn là nỗi lo âu của cả bác sĩ lẫn gia đình vì nguy cơ tử vong cao. Béo phì còn đi kèm hàng loạt bệnh như tim mạch, tiểu đường, mỡ máu, vô sinh vv…
VietTimes – Để phát hiện sớm dị tật sinh dục, dị tật tay chân, bệnh tiêu hóa,… ở trẻ nhỏ, Bệnh viện Hữu nghị Việt Đức sẽ tổ chức khám và tư vấn miễn phí các bệnh thường gặp cho trẻ em, từ ngày 30/5.
VietTimes – 1.200 thanh niên công nhân tại Bắc Giang và Vĩnh Phúc đã được các bác sĩ của Hội Thầy thuốc trẻ Việt Nam khám bệnh hậu covid-19, tư vấn sức khỏe và phát thuốc miễn phí trong 2 ngày 17 và 19/7.
VietTimes – Tình cờ, các bác sỹ Bệnh viện Việt Đức đã phát hiện rất nhiều trẻ bị cong vẹo cột sống ở mức nghiêm trọng, có thể nguy hiểm đến sức khoẻ và tính mạng, khi các cháu đến khám bệnh hậu COVID-19.
VietTimes – Từ ngày 25/6/2022 đến ngày 17/7/2022, Khoa Nội tiết Bệnh viện Nguyễn Tri Phương (TP.HCM) sẽ tổ chức chương trình “Tầm soát chậm tăng trưởng chiều cao ở trẻ em”.
VietTimes -- Khoảng 300 người dân, nạn nhân chất độc da cam và 22 hộ gia
đình nghèo tại xã Xuân Tầm, huyện Văn Yên (Yên Bái) được các bác sĩ của Bệnh viện
Hữu Nghị khám miễn phí và tặng quà vào cuối tuần qua.
VietTimes – Hàng trăm người có dấu hiệu bị bệnh tim mạch
đã được các bác sĩ của Bệnh viện Việt Đức khám và tư vấn miễn phí trong ngày 21/12,
nhờ đó, đã phát hiện để điều trị bệnh biến mạch máu não cho nhiều người.
VietTimes -- Sáng 13/9, Sở Y tế Hà Nội phối hợp với Phòng Giáo dục và Đào tạo quận Thanh Xuân, các bệnh viện hạng I trên địa bàn Hà Nội đã tổ chức khám sức khỏe miễn phí cho học sinh của Trường Tiểu học và THCS Hạ Đình - 2 trường nằm trong khu vực ảnh hưởng của vụ cháy xảy ra tại Công ty Rạng Đông.
VietTimes -- Hôm nay, ngày 1/7, các chuyên gia của tổ chức nhân đạo Children Action đã phối hợp cùng các bác sĩ của Bệnh viện đa khoa Xanh Pôn tiến hành khám và phẫu thuật miễn phí cho trẻ bị di chứng bỏng, nhằm cải thiện cuộc sống cho các em.
VietTimes -- Ngày 28/9, các chuyên gia hàng đầu về lĩnh vực
gan mật của Bệnh viện Hữu nghị Việt Đức sẽ khám và tư vấn miễn phí cho người
dân về các bệnh sỏi túi mật, sỏi trong gan, sỏi ngoài gan, ung thư đường mật.
VietTimes --Bệnh viện Hữu nghị Việt Đức sẽ tổ chức khám miễn phí cho những người bị chấn thương cổ bàn chân do chơi thể thao, nhằm trang bị những kiến thức cơ bản trong việc sơ cứu, điều trị chấn thương này. Đây cũng là cơ hội để các bệnh nhân được các chuyên gia hàng đầu ở lĩnh vực này khám và điều trị.